Výskumné záujmy
Kvasinkové proteíny prenášajúce lipidy
Študujeme fosfatidylinozitové transferové proteíny (PITP) v dvoch eukaryotických modelových organizmoch – kvasinkách Saccharomyces cerevisiae a Schizosaccharomyces pombe – s cieľom pochopiť molekulárne mechanizmy, ktoré sú základom intracelulárnej distribúcie lipidov. Naším cieľom je objasniť spôsob pôsobenia lipidových transferových proteínov (LTP) patriacich do rodiny CRAL-TRIO. Skúmame tiež stratégie na prevenciu vzniku rezistencie voči antimykotikám prostredníctvom selektívnej inhibície špecifických LTP.

Transfer lipidov a signalizácia u parazitov
Nevezikulárny transport lipidov, sprostredkovaný LTP, umožňuje výmenu lipidov medzi organelami, ktoré nie sú prepojené vezikulárnym transportom. Tento proces umožňuje rýchlu prestavbu lipidómu a korekciu nerovnováhy spôsobenej vezikulárnym transportom. LTP hrajú dôležitú úlohu v mnohých bunkových dráhach. Nedávny vývoj špecifických inhibítorov zameraných na LTP rodiny Sec14 v hubách otvára nové možnosti na skúmanie LTP CRAL-TRIO v parazitoch, ako sú Plasmodium falciparum a Trypanosoma brucei, ako potenciálnych cieľov pre nové antiparazitické lieky.

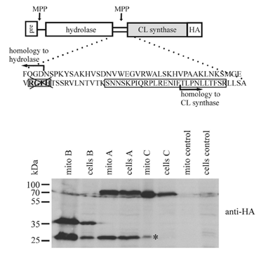
Mitochondriálne lipidy v Schizosaccharomyces pombe
Kvasinka Schizosaccharomyces pombe je cenným modelovým organizmom pre štúdium molekulárnej a bunkovej biológie eukaryotov. Biogenéza mitochondrií a organizácia genómu v tejto petite-negatívnej kvasinke sa viac podobajú tým u vyšších eukaryotov ako u kvasinky S. cerevisiae. Biosyntetické dráhy mitochondriálnych lipidov v S. pombe však zostávajú nedostatočne charakterizované. Naším cieľom je definovať tieto cesty, objasniť ich reguláciu a pochopiť, ako je metabolizmus mitochondriálnych lipidov prepojený s inými bunkovými procesmi.

Zoznam pracovníkov
RNDr. Peter Griač, DrSc. – vedúci skupiny
RNDr. Dana Tahotná, CSc.
Ing. Lucia Pokorná, PhD.
MSc. Dominik Štastný, PhD.
Mgr. Rebeka Rusnáková – doktorandka
Bc. Michaela Balogová – Mgr. študentka
Vybrané publikácie
- ROUCHERAY S. – ŠŤASTNÝ D. – KAUR H. – TAHOTNÁ D. – DACKS J.B. – GRIAČ P. – RICHARD D. Characterization of a phosphoinositide-binding protein containing a PHOX homology domain in the malaria parasite Plasmodium falciparum. Sci Rep. 2025 Oct 22;15(1):36867.
- ŠŤASTNÝ, Dominik – BALLEKOVÁ, Alena – TAHOTNÁ, Dana – POKORNÁ, Lucia – HOLIČ, Roman – HUMPOLÍČKOVÁ, Jana – GRIAČ, Peter. Characterization of two Plasmodium falciparum lipid transfer proteins of the Sec14/CRAL-TRIO family. Biochim Biophys Acta Mol Cell Biol Lipids. 2025 Jan;1870(1):159572.
- ŠŤASTNÝ, Dominik – BÁN PETRISKOVÁ, Lívia – TAHOTNÁ, Dana – BAUER, Jacob – POKORNÁ, Lucia – HOLIČ, Roman – VALACHOVIČ, Martin – PEVALA, Vladimír – COCKCROFT, Shamshad – GRIAČ, Peter. Yeast Sec14-like lipid transfer proteins Pdr16 and Pdr17 bind and transfer the ergosterol precursor lanosterol in addition to phosphatidylinositol. FEBS Lett. 2023 Feb;597(4):504-514.
- HOLIČ, Roman – ŠŤASTNÝ, Dominik – GRIAČ, Peter. Sec14 family of lipid transfer proteins in yeasts. Biochim Biophys Acta Mol Cell Biol Lipids. 2021 Oct;1866(10):158990.
- HAPALA, Ivan – GRIAČ, Peter – HOLIČ, Roman. Metabolism of Storage Lipids and the Role of Lipid Droplets in the Yeast Schizosaccharomyces pombe. Lipids. 2020 Sep;55(5):513-535.
- BENCOVÁ, Alexandra – GOFFA, Eduard – MORVOVÁ, M. – VALACHOVIČ, Martin – GRIAČ, Peter – TÓTH HERVAY, Nora – GBELSKÁ, Yvetta. The Absence of PDR16 Gene Restricts the Overexpression of CaSNQ2 Gene in the Presence of Fluconazole in Candida albicans. Mycopathologia. 2020 Jun;185(3):455-465. doi: 10.1007/s11046-020-00459-4. Epub 2020 May 25.
- HOLIČ, Roman – POKORNÁ, Lucia – GRIAČ, Peter. Metabolism of phospholipids in the yeast Schizosaccharomyces pombe. Yeast. 2020 Jan;37(1):73-92.
- PEVALOVÁ, Zuzana – PEVALA, Vladimír* – BLUNSOM, Nicholas J. – TAHOTNÁ, Dana – KOTRASOVÁ, Veronika – HOLIČ, Roman – POKORNÁ, Lucia – BAUER, Jacob – KUTEJOVÁ, Eva – COCKCROFT, Shamshad – GRIAČ, Peter. Yeast phosphatidylinositol transfer protein Pdr17 does not require high affinity phosphatidylinositol binding for its cellular function. Biochim Biophys Acta Mol Cell Biol Lipids. 2019 Oct;1864(10):1412-1421.
- VIRČÍKOVÁ, Veronika – POKORNÁ, Lucia* – TAHOTNÁ, Dana – DŽUGASOVÁ, Vladimíra – BALÁŽOVÁ, Mária – GRIAČ, Peter. Schizosaccharomyces pombe cardiolipin synthase is part of a mitochondrial fusion protein regulated by intron retention. Biochim Biophys Acta Mol Cell Biol Lipids. 2018 Oct;1863(10):1331-1344.
- POKORNÁ, Lucia – ČERMÁKOVÁ, Petra – HORVÁTH, Anton – BAILE M. G., M. G. – CLAYPOOL S. M., S. M. – GRIAČ, Peter – MALÍNSKÝ, Ján – BALÁŽOVÁ, Mária. Specific degradation of phosphatidylglycerol is necessary for proper mitochondrial morphology and function. Biochim Biophys Acta. 2016 Jan;1857(1):34-45.
- HOLIČ, Roman – ŠIMOVÁ, Zuzana – ASHLIN, T. – PEVALA, Vladimír – POLONCOVÁ, Katarína – TAHOTNÁ, Dana – KUTEJOVÁ, Eva – COCKCROFT, Samshad – GRIAČ, Peter. Phosphatidylinositol binding of Saccharomyces cerevisiae Pdr16p represents an essential feature of this lipid transfer protein to provide protection against azole antifungals. Biochim Biophys Acta. 2014 Oct;1842(10):1483-90.
- LANG, B. Franz – JAKUBKOVÁ, Michaela – HEGEDUSOVÁ, Eva – DAOUD, Rachid – FORGET, Lise – BREJOVÁ, Broňa – VINAŘ, Tomáš – KOSA, Peter – FRIČOVÁ, Dominika – NEBOHÁČOVÁ, Martina – GRIAČ, Peter – TOMÁŠKA, Martin – BURGER, Gertraud – NOSEK, J. Massive programmed translational jumping in mitochondria. Proc Natl Acad Sci U S A. 2014 Apr 22;111(16):5926-31.
- ŠIMOVÁ, Zuzana – POLONCOVÁ, Katarína – TAHOTNÁ, Dana – HOLIČ, Roman – HAPALA, Ivan – SMITH, A.R. – WHITE, T.C. – GRIAČ, Peter. The yeast Saccharomyces cerevisiae Pdr16p restricts changes in ergosterol biosynthesis caused by the presence of azole antifungals. Yeast. 2013 Jun;30(6):229-41.
- ŠIMOČKOVÁ, Mária – HOLIČ, Roman – TAHOTNÁ, Dana – PATTON-VOGT, Jana – GRIAČ, Peter. Yeast Pgc1p (YPL206c) controls the amount of phosphatidylglycerol via a phospholipase C-type degradation mechanism. J Biol Chem. 2008 Jun 20;283(25):17107-15.
- GRIAČ, Peter. Sec14 related proteins in yeast. Biochim Biophys Acta. 2007 Jun;1771(6):737-45.
- FISHER, Edward – ALMAGUER, Claudia – HOLIČ, Roman – GRIAČ, Peter – PATTON-VOGT, Jana. Glycerophosphocholine-dependent growth requires Gde1p (YPL110c) and Git1p in Saccharomyces cerevisiae. J Biol Chem. 2005 Oct 28;280(43):36110-7.
- SCHNABL, Martina – OSKOLKOVA, Olga V. – HOLIČ, Roman – BREŽNÁ, Barbara – PICHLER, Harald – ZÁGORŠEK, Miloš – KOHLWEIN, Sepp D. – PALTAUF, Fritz – DAUM, Günther – GRIAČ, Peter. Subcellular localization of yeast Sec14 homologues and their involvement in regulation of phospholipid turnover. Eur J Biochem. 2003 Aug;270(15):3133-45.
- GRIAČ, Peter – HENRY, Susan A. The yeast inositol-sensitive upstream activating sequence, UASINO, responds to nitrogen availability. Nucleic Acids Res. 1999 May 1;27(9):2043-50.
- SREENIVAS, Avula – PATTON-VOGT, Jana L. – BRUNO, Vincent – GRIAČ, Peter – HENRY, Susan A. A role for phospholipase D (Pld1p) in growth, secretion, and regulation of membrane lipid synthesis in yeast. J Biol Chem. 1998 Jul 3;273(27):16635-8.
- PATTON-VOGT, Jana L. – GRIAČ, Peter – SREENIVAS, Avula – BRUNO, Vincent – DOWD, Susan – SWEDE, Marci J. – HENRY, Susan A. Role of the yeast phosphatidylinositol/phosphatidylcholine transfer protein (Sec14p) in phosphatidylcholine turnover and INO1 regulation. J Biol Chem. 1997 Aug 15;272(33):20873-83. doi: 10.1074/jbc.272.33.20873.